门户主站
首页医院概况医疗服务科室导航专科专家医疗技术新闻中心人事招聘教学科研
官网微信
您的位置: 首页 > 新闻中心 > 媒体聚焦 > 正文

《广东新闻广播》警惕!7岁儿童长期睡眠张口呼吸 确诊腺样体肥大

2025-01-24 07:59 编辑:宣传科 阅读次数:

近期,七岁的小李在睡眠中出现鼾声震天、鼻塞、张口呼吸等症状。同时,其面容出现牙齿排列错乱,双唇增厚上翘等变化。最终,小李被确诊为腺样体肥大。广州市第一人民医院耳鼻咽喉头颈外科副主任医师苏娟提醒,腺样体肥大对孩子的健康不容忽视。

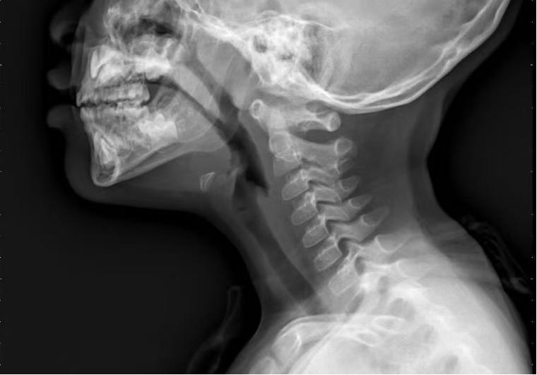
文章配图

术前鼻咽侧位片

腺样体肥大与腺样体面容之间存在着怎样的联系?腺样体肥大又是什么表现?广州市第一人民医院耳鼻咽喉头颈外科的苏娟副主任医师介绍,腺样体亦被称为咽扁桃体,位于鼻咽部的顶端后壁与咽后壁交汇处,是淋巴系统的重要组成部分。当腺样体频繁遭遇呼吸道感染或过敏性鼻炎的侵袭时,便可能引发肥大,进而带来一系列连锁反应,腺样体面容便是最常见的表现之一。

小李在被确诊为腺样体面容后即入院接受治疗。在接受了全面的检查,确认没有手术禁忌症后,医院为其进行了鼻内镜下腺样体等离子切除术。术后,小李的鼻塞和打鼾症状得到了明显的缓解,术后第二天便顺利出院。出院后,他又接受了牙齿矫正治疗,面容得到改善。

近年来,像小李这样的案例屡见不鲜。许多孩子因为张口呼吸、睡眠打鼾等症状而前来就诊,希望找到解决问题的答案。苏娟表示,腺样体肥大不仅会让孩子在夜晚饱受鼾声困扰、张口呼吸之苦,还可能削弱其白天的精神状态,严重的情况下甚至影响学业表现。长此以往,张口呼吸的习惯更将对面部发育造成不可逆的影响,形成“腺样体面容”。

腺样体面容特征为上颌骨拉长、腭骨高突、牙齿排列不整。严重时还可能引发夜间睡眠缺氧,干扰生长激素的正常分泌,从而导致身高发育落后。

文章配图

腺样体面容(图源网络)

家长若发现孩子出现频繁的鼻塞、流鼻涕、咳嗽、打鼾、张口呼吸等症状,尤其是夜间症状加重时,应提高警惕及时带孩子去医院就诊。

苏娟介绍,在检查方面,鼻内镜检查是诊断腺样体肥大的常用方法。这种方法可以直观地反映出腺样体肥大的程度,且创伤小,但需要儿童的配合。对于不配合的孩子,可以选择鼻咽X线检查。虽然这项检查有一定的放射性,但剂量非常低,在安全范围内。

目前,腺样体肥大的治疗手段主要包括药物治疗和手术治疗。对于症状较轻的患者,可以尝试药物治疗。对于症状严重或持续时间较长的患者,手术治疗可能是更好的选择。腺样体手术具有微创、快速、出血少的特点,通常通过口腔进行,旨在解除腺样体对上呼吸道的阻塞,从而改善孩子的睡眠质量。

针对家长对手术的顾虑。苏娟表示,虽然腺样体在青春期后会逐渐萎缩,但如果不及时采取处理措施,可能会对孩子的健康造成不可逆的损害。因此,当孩子出现持续的睡眠质量下降、鼻塞、张口呼吸等症状,且经药物治疗长达3至6个月仍未见效,或已出现腺样体面容、龅牙、反颌等改变,同时反复发生耳部感染或鼻窦炎且保守治疗无效时,可以考虑手术治疗。

苏娟表示,一般而言,2岁以上的孩子就可以进行腺样体消融术。而对于腺样体堵塞特别严重的孩子来说,在评估手术获益的基础上,1岁以上的孩子也可以考虑进行腺样体切除术,“术后孩子恢复较快,一般当天就可以自由活动。”

此外,不少家长对全麻手术是否会影响孩子智力发展存在疑惑和担忧。对此,苏娟指出,单次、短时间的全麻手术对孩子的智力发展没有不良影响,选择经验丰富的医生和医院进行手术可以大大降低复发风险。虽然复发的可能性存在,但概率极低,家长不必过分担心。

记者 | 朱家嬿、谭欣语(实习生)

图源 | 广州市第一人民医院

通讯员 | 魏星吴丽婷

热点新闻
赋能管理筑基 驱动高质量发展——广州市第一人民医院举办2026年领导干部专题培训班
2026年看病报销更省心!动动手指门诊选点,一步搞定全年便利
广州发布2025年慈善服务通报表扬名单,广州市第一人民医院陈海生爱心团队上榜
广州市第一人民医院2026年元旦出诊安排
广州市第一人民医院5人获2025年度中国博士后科学基金面上资助
广州市第一人民医院聂玉强教授与周有连教授团队在国际顶尖期刊Advanced Science发表研究成果
广州市第一人民医院2025年度国际合作与学术交流周启幕,聚焦医学新进展
点击文章添加好友,广州市第一人民医院上线“医管家”服务
广州市第一人民医院党委书记付涌水带队赴喀什开展交流并慰问援疆干部
建院126周年 | 广州市第一人民医院举办首届文体艺术节成果分享会,展现医者仁心与人文活力
高质量发展|广州市第一人民医院多项医疗高地项目获广州市卫健委立项,彰显医疗创新实力
广州市第一人民医院举办2025年干部“创新管理,当责作为”专题培训班
贾林教授当选中华医学会行为医学分会第八届委员会副主任委员
情满中秋·礼赞国庆| 广州市第一人民医院开展“迎双节、强党性、建新功”主题党日活动
广州市第一人民医院18位专家荣耀上榜2025年“羊城好医生”
广州市第一人民医院消化内科牵头制定国内首部《肠道菌群移植治疗慢性肝病的临床应用专家共识》
​广州市第一人民医院神经外科与白云区石井人民医院医联体联动,成功救治两名危急重症患者
广州市第一人民医院生殖医学中心特色门诊 “生育力评估与保护门诊”开诊
聚焦消化疾病精准诊疗| 广州市第一人民医院新消化内镜中心揭牌
医者如炬,点亮生命之光——广州市第一人民医院高宗银、王新亮、张玉平荣膺“广州好医生”