门户主站
首页医院概况医疗服务科室导航专科专家医疗技术新闻中心人事招聘教学科研
官网微信
您的位置: 首页 > 新闻中心 > 媒体聚焦 > 正文

《触电新闻》不慎吸入硝酸气体!广州市第一人民医院成功治愈一例重症肺炎

2024-06-20 14:29 编辑:宣传科 阅读次数:


不慎接触到吸入性有害气体,出现咳嗽、发热,呼吸困难等症状……近期,广州市第一人民医院呼吸与危重医学科接诊并成功治愈一例重症肺炎急性呼吸窘迫综合征患者。患者入院后11天即成功出院。

50岁出头的奉师傅(化名)在一家工厂上班,最近在上班后突然出现了咳嗽、发热的症状。在当地诊所用药以后,咳嗽症状并没有缓解,反而很快出现了呼吸困难,随后前往当地医院就诊。根据医院胸部CT结果显示,奉师傅“双肺见弥漫性斑片状、片状密度增高影及磨玻璃密度影(呈双侧“大白肺”改变)”。医院初步拟“重症肺炎”行抗感染治疗。然而,患者病情进展很快,并伴有呼吸衰竭的症状,血氧饱和度下降至85%。由于当地医院抢救治疗效果不佳,奉师傅被紧急转移至广州市第一人民医院呼吸与危重医学科监护室进行抢救。

文章配图

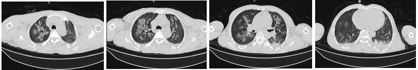
当地医院胸部CT: 双肺见弥漫性斑片状、片状密度增高影及磨玻璃密度影

文章配图

入院当天胸片:双肺大片斑片状、絮状致密影,边界不清

广州市第一人民医院呼吸与危重症医学科主任医师梁志科介绍,患者的情况比较棘手,在呼吸机支持下氧合不佳,氧合指数仅为167mmHg(正常>300);纤支镜下见中量黄脓痰,气道黏膜充血水肿、糜烂;血常规白细胞为20.81x10^9/L(正常范围:4-10x10^9/L),炎症因子升高。“我们诊断患者患有重症肺炎急性呼吸窘迫综合征(ARDS,中度),同时出现急性肾功能不全、急性肝功能不全、心肌损伤、弥散性血管内凝血(DIC)、重度溶血性贫血、下肢深静脉血栓形成、多腔膜积液、心脏瓣膜病等情况,各项指标都不容乐观。”

在与患者家属详细了解病情的过程中,医生了解到奉师傅曾在工厂用含硝酸的清洁剂酸洗不锈钢,并在空间通风不足的场所持续工作了多个小时。结合奉师傅入院当天的新冠核酸阳性结果,广州市第一人民医院呼吸与危重症医学科判断患者肺部问题可能是由于工作过度劳累、新冠感染后身体免疫力低下,加上工作时操作不慎吸入硝酸烟雾而导致的吸入性肺炎。

在明确病因后,广州市第一人民医院呼吸与危重症医学科予患者以积极抗细菌、抗病毒、激素抗炎、抗凝、纠正溶血性贫血、免疫调节,保护脏器功能等综合治疗。随后,患者病情得到逐步控制,氧合指数好转,两边肺渗出也很快吸收,最终顺利脱离呼吸机。患者住院11天后顺利出院。

文章配图

治疗6天后复查胸部CT:双肺斑片状、絮状影及磨玻璃密度影明显吸收

硝酸具有强氧化性、强腐蚀性,易挥发,有窒息性气味,在生活中并不少见,常用于制化肥、农药、染料等。广州市第一人民医院呼吸与危重症医学科主治医师郭伟鸿提醒,在遇潮、光照、受热等条件下,硝酸能够产生氮氧化物气体,人体吸入后可导致急性刺激性气体中毒,造成支气管、肺泡及其周围毛细血管损伤,导致急性肺水肿或急性呼吸窘迫综合征(ARDS)。

如果工作区域通风不足,或防护没做好,则容易导致吸入性中毒。郭伟鸿表示,急性吸入硝酸烟雾后的潜伏期为吸入氮氧化物数小时至72小时。初始仅表现为轻、中度呼吸道刺激性症状,常于24小时内呼吸困难进行性加重,出现严重肺损伤表现。郭伟鸿提醒,发生中毒后的首要措施是停止接触,迅速脱离现场,同时还需密切观察72小时。

梁志科提醒,在平时工作生活中如果有可能接触到吸入性有害气体时,应该做好个人防护,佩戴相应的防护口罩,做好健康监测,如遇身体不适时应尽快就医。

记者 | 朱家嬿

图源 | 广州市第一人民医院

通讯员 | 魏星、吴丽婷


热点新闻
赋能管理筑基 驱动高质量发展——广州市第一人民医院举办2026年领导干部专题培训班
2026年看病报销更省心!动动手指门诊选点,一步搞定全年便利
广州发布2025年慈善服务通报表扬名单,广州市第一人民医院陈海生爱心团队上榜
广州市第一人民医院2026年元旦出诊安排
广州市第一人民医院5人获2025年度中国博士后科学基金面上资助
广州市第一人民医院聂玉强教授与周有连教授团队在国际顶尖期刊Advanced Science发表研究成果
广州市第一人民医院2025年度国际合作与学术交流周启幕,聚焦医学新进展
点击文章添加好友,广州市第一人民医院上线“医管家”服务
广州市第一人民医院党委书记付涌水带队赴喀什开展交流并慰问援疆干部
建院126周年 | 广州市第一人民医院举办首届文体艺术节成果分享会,展现医者仁心与人文活力
高质量发展|广州市第一人民医院多项医疗高地项目获广州市卫健委立项,彰显医疗创新实力
广州市第一人民医院举办2025年干部“创新管理,当责作为”专题培训班
贾林教授当选中华医学会行为医学分会第八届委员会副主任委员
情满中秋·礼赞国庆| 广州市第一人民医院开展“迎双节、强党性、建新功”主题党日活动
广州市第一人民医院18位专家荣耀上榜2025年“羊城好医生”
广州市第一人民医院消化内科牵头制定国内首部《肠道菌群移植治疗慢性肝病的临床应用专家共识》
​广州市第一人民医院神经外科与白云区石井人民医院医联体联动,成功救治两名危急重症患者
广州市第一人民医院生殖医学中心特色门诊 “生育力评估与保护门诊”开诊
聚焦消化疾病精准诊疗| 广州市第一人民医院新消化内镜中心揭牌
医者如炬,点亮生命之光——广州市第一人民医院高宗银、王新亮、张玉平荣膺“广州好医生”