输血常见和重要的临床治疗手段,但输异体血可使受血者产生同种抗体,血型同种抗体会使病人输入不相合红细胞或血小板受到破坏,产生发热、溶血等输血反应,导致输无效血,严重时危及病人生命安全,浪费宝贵的血液资源。
常见的输血无效包括红细胞和血小板输注无效。红细胞与血小板的输注无效与输血、妊娠、器官移植等多个免疫因素有关,其中输血次数越多,既往输血总量越大,无效输注的发生率也越高。相应的防治措施包括:红细胞与血小板的分型与多血型系统同型输注、去除白细胞、γ射线照射、血浆置换、血小板交叉配型及免疫抑制剂的使用等。
随着近年来血型及输血技术发展,截至目前,已发现的人类红细胞血型系统已达37个,而临床的同型输注仅限于ABO血型系统和RhD抗原,但常规引起输血无效的还有Rh系统CcEe、MNSs系统、kidd、duffy、Mur系统等多个红细胞血型系统以及血小板HLA和HPA血型系统。成份血多血型系统同型输血技术的建立与推广应用,不仅能提高血液制品的输注疗效,预防和减少血液制品输注无效,降低输血相关传染病的发生,还可以达到节约宝贵血液资源,降低输血费用目的。

输血科常备的两套以上的抗体鉴定谱细胞(Sanquin与Bio-rad)
优势及技术基础
广州市第一人民输血科是广东省规模最大、技术力量最雄厚的输血专业科室,也是广东省精准输血工程技术中心&广州市临床用血质量控制中心,也是中国医师协会输血科医师分会副会长、中华医学会临床输血学分会常委单位。集储供血、输血检验、输血治疗及科研教学为一体,是全省乃至华南地区最早能同时进行红细胞、血小板抗原抗体血清学与分子生物学鉴定的输血专业科室。
04 标准化的输血操作流程
新临床输血评估分级系统
根据我院2004年以来积累的临床输血大数据,按患者性别、年龄、诊断、病种、孕产史、输血史、后续输血需求进行评估分级,将所有用血患者自动分为低、中、高用血三个级别,将高危用血组中的临床患者纳入本项目。

我院开发的精准输血评估分级系统
抗原、抗体分型技术平台
对患者和供者常见红细胞血型系统如ABO系统、Rh系统、MNSs系统、Mur系统和血小板HLA与HPA系统等具有临床意义的常见抗原进行血清学与分子生物学分型;对不规则抗体进行筛查和鉴定,为临床血液病患者提供个性化的治疗方案及血液制品,实现常见血型的同型输注,同时,进一步完善血栓弹力图技术在血小板、血浆及冷沉淀等血液制品输注时的临床指导作用。

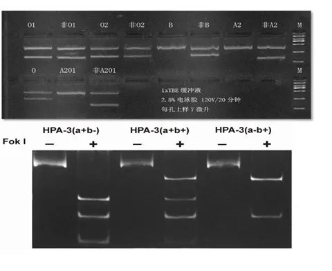
人类红细胞和血小板基因分型检测技术(PCR-SSP法)
治疗性血浆置换技术
在临床输血中的应用与推广
对于某些难治性的自身免疫性溶血性贫血、妊娠中Rh溶血、血栓性血小板减少性紫癜、溶血性尿毒症及多种高效价的同种抗体的患者,可采用血浆置换的方式。血浆置换的开展为寻找配合性的血液制品争取了宝贵时间,尤其是常规药物治疗无效的危重病例,常可获得明显疗效,联合药物治疗可长期缓解。

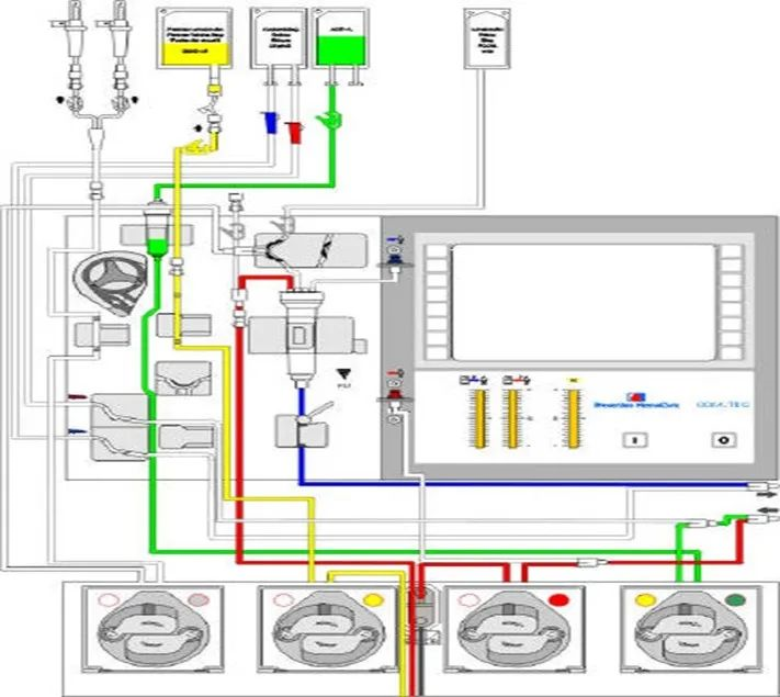
血浆置换循环流程
多血型系统同型输血技术推广应用
通过输血评估分级系统和供受者抗原抗体精准分析,实现供受者多血型系统同型输血,预防和减少红细胞、血小板输注无效,达到节约宝贵血液资源,降低输血费用目的。
05 经验丰富,操作例数多,疗效确切
广州市第一人民输血科于2016~2018年已经开展多血型系统同型输血技术300余例,达700人次,病种包括再生障碍性贫血、白血病、骨髓增生异常综合征、淋巴瘤、地中海贫血、肺癌、肠癌、胃癌、某些难治性的自身免疫性溶血性贫血、妊娠中Rh溶血、血栓性血小板减少性紫癜及溶血性尿毒症等输血无效的患者。
多血型系统同型输血技术的建立与推广应用,不仅能提高患者血液制品的输注疗效,预防和减少血液制品的输注无效,降低输血相关传染病的发生,还可以达到节约宝贵血液资源,降低输血费用目的。
项目首席专家

魏亚明,男,医学博士,研究员,主任技师,博士研究生导师,华南理工大学附属广州市第一人民医院输血科主任,广州市医学重点人才。现任中国医师协会输血科医师分会副会长,中华医学会临床输血学分会常委,国家卫健委临床输血专家委员会委员,中国医师协会输血科医师分会细胞治疗专业委员会主任委员。广东省医师协会输血科医师分会第一届主任委员,广东省精准输血技术工程研究中心主任,广州市医师协会输血专业委员会第一届主任委员,广州市临床用血质控中心主任委员。广东省医学会临床输血学分会副主任委员,广州市医学会临床输血分会副主任委员。广东省、广州市科研基金与科技成果评审专家。先后主持国家自然科学基金、广东省自然科学基金及市级重大科研项目20余项;在国内外知名杂志发表论文170余篇,包括SCI论文20余篇。目前主要研究方向为血液免疫和细胞治疗。
技术骨干

黄建云,女,医学学士,主任医师,中国医师协会输血科医师分会血液净化专业委员会副主任委员,广东省医师协会输血科医师分会常务委员,广州市医学会血液保护分会委员,从事急诊内科临床医疗工作6年,后转从事临床输血技术工作二十年。主要负责输血治疗工作,擅长血细胞分离单采、外周血干细胞采集保存;血浆置换;贮存式自体输血;临床输血治疗;输血反应会诊及急危重症病人诊治。主持和参与多个省、市级科研课题工作,发表专业论文10余篇。
技术骨干

陈小洁,女,医学学士,副主任技师,中国医师协会输血科医师分会委员,中国医师协会输血科医师分会委员儿童输血专业委员会委员,现任广东省医师协会输血科医师分会副主委,从事临床输血多年,主要负责临床输血技术工作,擅长临床疑难配血,血小板无效输注配型,止凝血功能管理等技术。参与多项省级课题科研工作,发表论文16余篇,其中SCI论文2篇。